DR.GUILHERME ARAÚJO
ESTÉTICA E REABILITAÇÃO ORAL CRO-PE 7052
Especialista em Prótese Dentária
’t come this far to stop


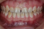
A reabilitação estética e com próteses dentárias são procedimentos que requerem diagnóstico preciso e um planejamento bem elaborado para alcançar resultados satisfatórios, duradouros e elevar a auto estima dos pacientes. Estas etapas garantem que o tratamento não apenas resolva os problemas funcionais e estéticos dos dentes, mas também atenda às expectativas do paciente de maneira segura e eficaz.
Limpeza dentária/Diagnostico e tratamento de cáries
Clareamento dental
Prótese Fixa: coroas e pontes/facetas sobre dentes
Prótese fixa sobre implantes unitárias
Prótese fixa sobre implantes múltiplas
Prótese protocolo
Escaneamento e Planejamento digital
Conheça um pouco mais sobre os tratamentos. Não perca tempo! Persiga o seu sonho e tranforme seu sorriso.










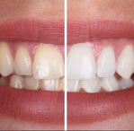
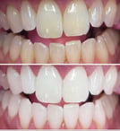
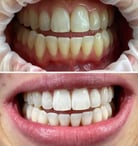
CLAREAMENTO DENTAL
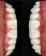
COROAS METAL FREE
LENTES DE CONTATO DENTAL
PRÓTESE SOBRE IMPLANTE
ESCANEAMENTO E DESENHO
IMPRESSORA 3D



PRÓTESE PROTOCOLO
SCANER INTRA ORAL




PLACA BRUXISMO
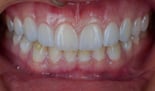
Um sorriso mais branco e radiante
Laminados cerâmicos para corrigir a cor e a forma dos dente.
Estética sem metal. Beleza e saúde com cerâmica e zircônia
Reabilitação fixa para os desdentados totais. Força na mastigação e naturalidade.
Proteção noturna para o desgaste dos dentes e alívio da dor na ATM
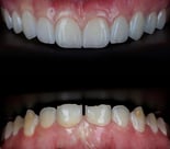
Tecnologia avançada para diagnóstico e previsão dos resultados
Veja seu sorriso perfeito antes de começar.
Alegria de sorrir sem preocupação. Um sorriso completo faz a diferença.
Coroas totais e parciais com Impressão 3D. Precisão e agilidade.
TRATAMENTOS
CLAREAMENTO DENTAL


Venha realçar sua beleza natural com clareamento dental. O tratamento remove manchas indesejadas e revela dentes mais brancos, brilhantes e revitaliza sua autoestima.








COROAS TOTAIS E PARCIAIS POR IMPRESSÃO 3D

Scanner intraoral Medit I600
Tecnologia de ponta para escaneamento, conforto e precisão nos resultados

O Escaneamento Digital, Desenho Digital e Impressão 3D na confecção de coroas dentárias representa uma solução moderna e eficaz. Este processo proporciona coroas de alta qualidade no ajuste além de agilidade no processo de confecção e entrega dos trabalhos ao paciente.
Impressão 3D
Impressão de coroas totais e parciais.
Resultados de alta qualidade e com agilidade.












Desenho Digital Coroa Parcial e Total
Coroa Parcial e Total prontas para impressao 3D
Instalação em boca
Coroas impressas e ajustadas no modelo


PLACA DE BRUXISMO
Placa de bruxismo: proteção para os dentes, alívio para as ATMs e relaxamento para os músculos mastigatórios
















Escaneamento intra oral
Desenho Digital da placa
Impressão 3D da placa
Ajuste da placa no modelo
Entrega da placa






O Escaneamento intraoral dos lábios em conjunto com as arcadas, é um importante auxílio no desenho digital do sorriso.
Desenho digital para coroas e lentes concluido. Agora o paciente pode ver como vai ficar o seu novo sorriso.
Na nossa clínica, contamos com a tecnologia avançada de escaneamento intraoral para tornar o seu sonho de um sorriso perfeito uma realidade. Venha transformar seu sorriso com precisão e conforto!


O escaneamento intraoral e o planejamento digital do sorriso, representam avanços significativos na odontologia moderna. Eles melhoram a precisão, eficiência e qualidade dos tratamentos, oferecendo uma experiência mais confortável e satisfatória para os pacientes. Além disso, essas tecnologias facilitam a personalização e otimização dos resultados, fortalecendo a confiança dos pacientes na proposta de tratameto.
PLANEJAMENTO DIGITAL
PRÓTESE SOBRE IMPLANTE UNITÁRIA E MÚLTIPLA
O fluxo digital na prótese sobre implante proporciona um avanço significativo em termos de precisão, estética e eficiência. Desde o escaneamento até a confecção final, cada etapa é otimizada para garantir resultados de alta qualidade e satisfação do paciente. Laboratórios qualificados e a integração de tecnologias de ponta são essenciais para alcançar resultados satisfatórios.





Escaneamento da gengiva e posição do implante






Desenho Digital em Laboratório
Coroa sobre Implante aparafusada em Modelo impresso. zirconia/cerâmica
Coroa instalada em boca


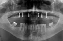
PRÓTESE SOBRE IMPLANTE PROTOCOLO
A prótese protocolo é uma solução fixa sobre implantes, utilizada para substituir todos os dentes de uma arcada dentária (superior ou inferior). Esta técnica oferece uma prótese estável, confortável e com uma aparência muito natural.




Tomogafia computadorizada, para analise ossea e escaneamento, para planejamento dos futuros dentes
Protese Protocolo finalizada, seguindo etapas de seleçao de cor de dentes e gengiva e provas estéticas, sempre com a participaçao do paciente em todo o processo.




Guia cirúrgico para posicionar os implantes, no momento da cirurgia, de acordo com o planejamento do novo sorriso.


Cirurgia com equipe especializada para instalação dos implantes










LABORATÓRIOS COM TECNOLOGIA DE PONTA
Tenho parcerias com laboratório de prótese de alta qualidade, o que é essencial para alcançar os melhores resultados possíveis na reabilitação utilizando as cerâmicas na confecção de coroas livres de metal, pontes fixas, facetas e lentes. A tecnologia e a habilidade artesanal são complementares ao conhecimento técnico e científico do cirurgião-dentista .
Fase de produção laboratórial das coroas sobre dentes e implantes e facetas de porcelanas personalizadas
Em um bom laboratório, essas peças são confeccionadas com precisão, utilizando tecnologia avançada para garantir o ajuste perfeito e a estética desejada.












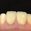
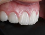
COROAS E FACETAS DE PORCELANA UNITÁRIAS
As coroas ou lentes de porcelana também tem ampla indicação em casos unitários : dentes fraturados, escurecidos após tratamentos de canal, alterações de forma e manchas que não respondem ao clareamento, são exemplos de situações em que precisamos harmonizar esse novo dente com os vizinhos.







Espelhar um dente vizinho com uma nova coroa ou faceta de porcelana, é um procedimento altamente técnico, que requer a habilidade e experiência de um dentista estético e de um laboratório qualificado.
DR.GUILHERME ARAÚJO
ESTÉTICA E REABILITAÇÃO ORAL CRO-PE 7052
Sou Cirurgião-Dentista, formado em 2003, pela Faculdade de Odontologia de Pernambuco FOP/UPE.
Acumulei experiências em cursos de especialização, atualizações e imersões nas areas de DTM e dor orofacial , prótese dentária e na odontologia digital .
Hoje, sinto que os conhecimentos adquiridos nessas áreas se completam e me tornam um profissional mais capacitado para resolver as dores dos meus pacientes, removendo as causas, de modo a devolver a sua saúde e o sorriso.
Ao longo da minha carreira, tenho me dedicado com o compromisso à promoção da saúde bucal e ao bem-estar dos meus pacientes, compartilho de um único propósito, o qual está voltado para o cuidado individualizado a cada paciente. Identificar suas necessidades e estabelecer um plano de tratamento personalizado para devolver o sorriso, autoestima, estética e a função.


